するのが最も怖いことは何ですか ? それをするためには何が必要ですか ?
人生でちょっと怖いイベントだ。以前、全身麻酔について書いたことがある。
あれもなかなかの恐怖体験だったけれど、今回もまた恐怖体験に基づくモノなのだ。
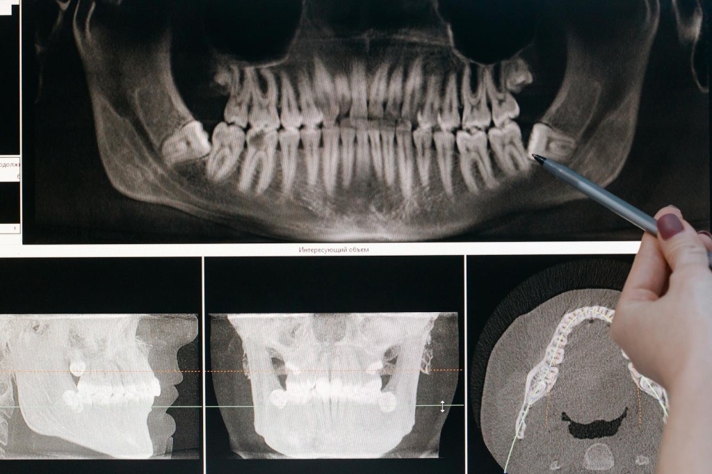
すでに右側は10年以上前に上下とも抜いた。特に下の親知らずは、見事に真横に生えていて、歯茎の中で完全に寝そべって、所狭しと横の歯を押しているような状態だ。そのため、歯医者さんがハンマーのような器具で砕きながら取り出すという、なかなかワイルドな手術になった。あの時の音と衝撃は、麻酔をしていたとはいえ、今思い出しても背筋がゾワッとする。
そして今、残っている親知らず達。この上の奴が、欠けてしまっているのだ。が、痛みはまったくない。先日の全身麻酔時に術前処置で歯科で削ってくれた。奥歯が欠けるのはご想像通りだ。たぶん。彼らをこのまま放置すれば確実にトラブルになる可能性はある。虫歯、炎症、噛み合わせの悪化…未来の自分に負担を押しつけるだけだ。が、いざ抜くとなったら…とはいえ、いざ「抜きましょう」と言われると、痛くもない歯をわざわざ抜くという行為は、どうしても気持ちが追いつかない。頭では分かっている。今のうちに抜いた方がいい、後で痛むよりマシ、治療は早い方がいい、でも、心は別の声を出している。本当に今なのか、またあの時の、、、更に上が、痛くないのに抜くなんて…と、この葛藤こそが、親知らずの怖さなんだと思う。
怖いことを避け続けるのは簡単だ。でも、避けた先にもっと大きな痛みが待っているなら、今の自分が少し勇気を出すしかない。そう思うしかないだろう。正直怖いが、未来の自分のために。あの時の自分があって、今の自分があるように、今回もまた一歩進んでみる事になるのだろう。いつか。。。


コメントを残す